我院成功完成首例人工全踝关节置换术,助患者重获“健行”能力!
2026-01-23
日前,连州市人民医院骨科一区成功为终末期踝关节疾病患者邓阿姨(化名)施行了踝关节置换术。该手术为清远地区首例,标志着我院在足踝外科诊疗技术领域取得重要突破,为区域内终末期踝关节炎的患者提供了全新的治疗选择。
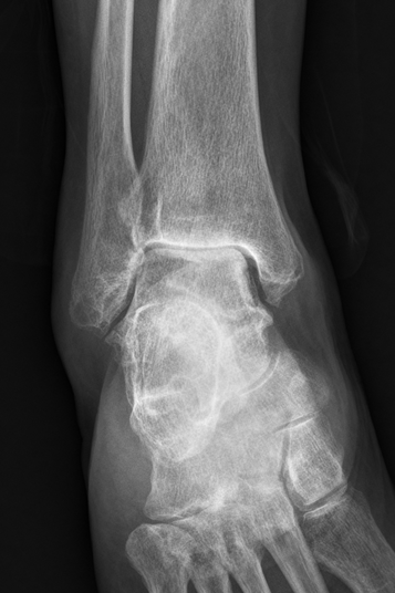
术前右踝关节片
术后复查右踝关节片
据了解,邓阿姨右踝关节持续疼痛、活动受限、行走困难两个月,在外院治疗但效果不佳,遂至我院骨科一区就诊。入院后完善相关检查,诊断为“右踝关节创伤性关节炎”。骨科一区主任万富贵带领科室关节组团队成员开展术前讨论,为最大程度地改善患者的踝关节功能,提升患者生活质量,在与邓阿姨充分沟通后,最终决定进行既能消除疼痛、又能保留踝关节活动度的踝关节置换术。
手术在我院外聘专家曾参军教授的现场指导下,由万富贵主任医师、何洪武副主任医师共同协作完成。术中团队操作精细,配合默契,手术过程顺利。邓阿姨术后恢复良好,现右踝关节活动正常,已恢复正常行走功能。
万富贵主任介绍,踝关节炎的治疗方式分为药物治疗与手术治疗两大类。一旦踝关节骨关节炎进展为终末期关节炎,传统治疗手段往往难以达到理想疗效。全踝关节置换术是治疗终末期踝关节炎(如创伤性、类风湿性或原发性骨关节炎)的重要外科手段。相比传统的踝关节融合术,其优势在于消除疼痛的同时能保留关节活动功能,并减少邻近关节的退变风险,为患者带来更优的生活质量。
骨科一区简介
连州市人民医院骨科2025年入选清远市临床重点专科建设项目,设有骨科一区、骨科二区。
骨科一区(关节和创伤)现有医生10名,其中主任医师3名、副主任医师3名、主治医师2名、住院医师2名。护士13名,其中副主任护师2名、主管护师4名、护师3名、护士4名。多名医师曾在省内三甲医院进修学习,基础理论扎实,对各种骨科常见病、多发病、危急重症和疑难复杂疾病等都具有先进的治疗理念及丰富的临床经验。科室以治疗复杂的关节疾病和四肢创伤为特色,治疗的疾病主要包括:
关节方面:发育性髋关节发育不良、股骨头坏死、骨性关节炎、类风湿性关节炎、关节假体周围骨折等疾病的初次关节置换、关节翻修、保髋保膝相关手术及膝踝关节损伤的手术治疗。
关节镜手术:膝关节韧带半月板损伤的关节镜下修复、关节镜下距腓前韧带修复与重建术、关节感染性疾病的镜下治疗、关节滑膜炎症的清理、关节镜辅助下关节内骨折的微创治疗等。
创伤方面:骨盆髋臼骨折、老年髋部骨折、复杂四肢关节骨折、下肢骨缺损的修复重建、下肢软组织缺损的皮瓣修复和功能重建、骨髓炎的病灶清除骨缺损的修复重建手术等。
足踝方面:扁平足、足部拇外翻、马蹄内翻足、高弓足、距骨骨软骨损伤、创伤性关节炎、足踝部畸形的矫形等手术治疗,运用胫骨横向骨搬运治疗远端糖尿病足、动脉硬化闭塞症的保肢治疗。
骨科一区(关节和创伤)全体医护人员本着“以患者为中心”的理念,以患者的满意为目标,以规范化治疗为标准,不断强化医疗质量和服务质量,用精湛的技术、贴心的服务,为广大群众提供优质便捷的医疗服务。
