消化内镜精准发现隐匿病灶,微创手术解除肠癌风险!
2025-10-27
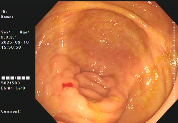
近日,连州市人民医院消化内科团队通过消化内镜微创技术,成功为一名67岁患者完整切除位于盲肠的巨大侧向发育型肿瘤(LST)。患者术后恢复良好,已康复出院。

吴姨(化名)平素饮食规则,无腹痛、便血等消化道不适,因其侄女有大肠肿瘤病史,为求安心,特从外地来连州市人民医院进行肠镜检查。消化内镜室吕美光医生在检查中,凭借丰富经验和高清放大染色内镜技术,于盲肠深处发现一个与正常黏膜极其相似、范围达35mmX45mm的平坦微隆起型病灶,并确认其微表面及微血管结构存在异型。后续活检证实,该病灶为盲肠管状腺瘤。



消化内科主任潘新智与患者及家属充分沟通后,为其实施了盲肠黏膜剥离术(ESD)。术中,团队克服了盲肠病变距离肛门远,肠壁薄、蠕动频繁、随呼吸波动大等困难,以微创方法为患者完整切除了盲肠巨大侧向发育型肿瘤,避免了外科手术。
术后病理报告证实病灶完整切除,基底及侧切缘均未见肿瘤细胞。
潘新智主任介绍,盲肠侧向发育型肿瘤(LST)是一种发生在盲肠部位的特殊类型的肿瘤,这种肿瘤通常呈扁平状增生,紧贴肠壁,像烙饼一样,具有比普通息肉更高的恶变潜能。由于其特殊的生长方式,盲肠侧向发育型肿瘤在内镜下治疗相对困难,耗时较长,肠道穿孔出血的风险较高,需要医生具备敏锐的观察力和丰富的经验。
消化内科简介
连州市人民医院消化内科成立于2016年4月,拥有一批技术精湛的专业团队,2023年被评为清远市临床重点专科。现有主任医师3名,副主任医师1名,主治医师6名;内镜护士6名,技术骨干均到过省级三甲医院进修消化内镜诊疗等技术。
消化内科由住院病房、内镜室、专科门诊组成,病房有病床34张,消化内科开展对消化系统急症、重症、常见病、多发病做出规范诊断与治疗,包括贲门黏膜撕裂综合征、消化道大出血、急性应激性胃炎、溃疡性结肠炎、肝硬化、胆囊炎、胆总管结石、急性重症胰腺炎、消化性溃疡、缺血性肠病、肠易激综合征、克罗恩病、内痔出血、内痔脱垂等。2022年12月由消化内科团队筹备组建成立连州市医疗总院消化道出血中心,为消化道出血患者提供快速、高效、标准化救治流程,显著提高救治成功率,造福连阳地区患者。
消化内镜室拥有富士7000操作系统一套,富士超声内镜9000主机一套,奥林巴斯290操作系统一套,宾得i5000主机一套,带附送水染色放大胃镜2条,放大肠镜2条;带附送水高清胃镜3条,肠镜3条;标清胃镜2条,肠镜1条;十二指肠镜1条,经鼻胃镜2条,超声内镜2条,胶囊内镜操作系统1套以及爱尔博高频电刀、碳-13呼气检测仪等先进的诊断治疗设备。能开展省级三甲医院重点消化专科开展的“四E”技术,包括:急诊内镜下止血、异物取出、内镜下息肉治疗(圈套摘除术及电灼术)、内镜下黏膜切除术(EMR)、消化道早癌内镜黏膜下剥离术(ESD)、超声内镜(EUS)、食道胃底静脉曲张破裂出血套扎、硬化、组织胶栓塞治疗(ESVD)、内镜下十二指肠乳头括约肌切开术、内镜下鼻胆管引流术、内镜下鼻胆引流管插入、内镜下胆管支架置入术(ERCP)、消化道狭窄扩张及支架置入、肝脓肿穿刺引流术、空肠营养管置入、内痔硬化及套扎术、大肠憩室内粪石取出术、阑尾炎内镜下治疗术等三、四级内镜微创手术,填补了连阳地区多项医疗空白,提升了县域医疗服务水平,为实现“大病不出县”提供了保障。
